Our Locations

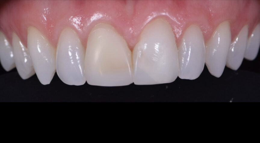
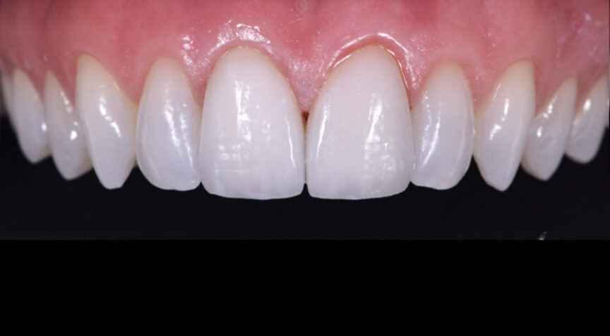
Philip Friel Advanced Dentistry - Before Philip Friel Advanced Dentistry - After

by Dr Andrew Culbard

For more information regarding this treatment

Contact Us Or Call  01413 397 579
Back to smile gallery

Get in touch

Location Icon

Hyndland Dental Clinic

154 Hyndland Road, Hyndland, Glasgow,G12 9HZ

T. 01413 397 579

Location Icon

Castle House Dental Clinic

Fairways Business Park,Castle Heather Drive,Hyndland, Inverness,IV2 6AA

T. 01463 234 598