Our Locations

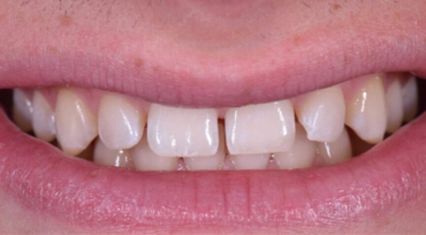
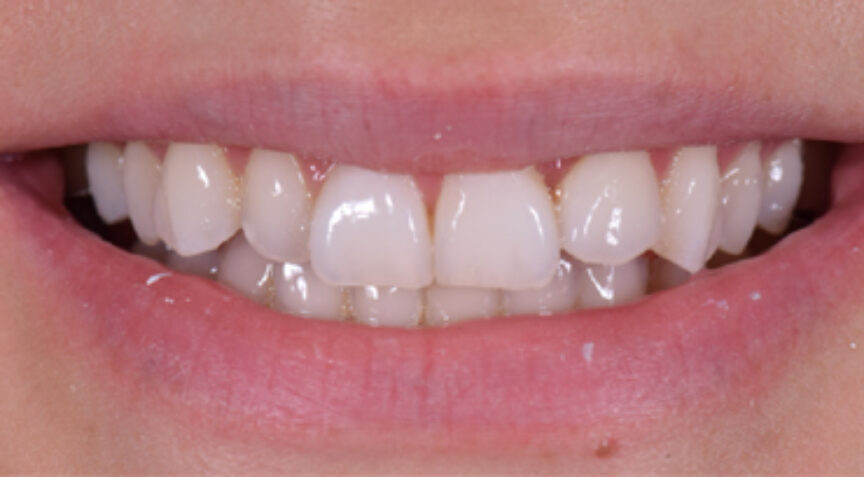
Case 1 - Composite Bonding

Philip Friel Advanced Dentistry - Before Philip Friel Advanced Dentistry - After

by Dr Andrew Culbard

Read More

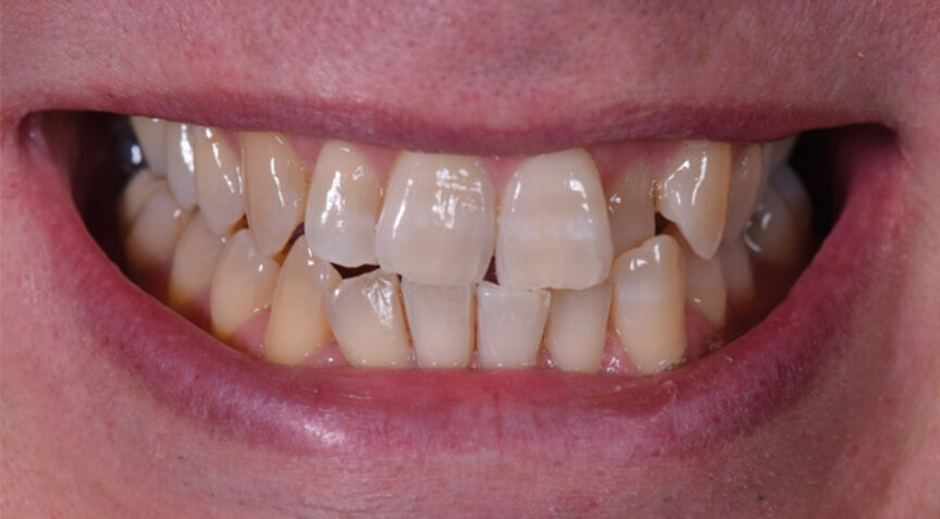
Case 2 - Composite Bonding

Philip Friel Advanced Dentistry - Before Philip Friel Advanced Dentistry - After

by Dr Andrew Culbard

Read More

Case 3 - Facial Aesthetics

Philip Friel Advanced Dentistry - Before Philip Friel Advanced Dentistry - After

by Dr Andrew Culbard

Read More

Case 4 - Facial Aesthetics

Philip Friel Advanced Dentistry - Before Philip Friel Advanced Dentistry - After

by Andrew Culbard

Read More

Case 5 - Invisalign

Philip Friel Advanced Dentistry - Before Philip Friel Advanced Dentistry - After

by Andrew Culbard

Read More

Case 6 - Invisalign

Philip Friel Advanced Dentistry - Before Philip Friel Advanced Dentistry - After

by Dr Andrew Culbard

Read More

Case 7 - Veneers

Philip Friel Advanced Dentistry - Before Philip Friel Advanced Dentistry - After

by Andrew Culbard

Read More

Case 8 - Veneers

Philip Friel Advanced Dentistry - Before Philip Friel Advanced Dentistry - After

by Dr Andrew Culbard

Read More

Case 9 - Veneers

Philip Friel Advanced Dentistry - Before Philip Friel Advanced Dentistry - After

by Dr Andrew Culbard

Read More

Case 10 - Invisalign, Dental Implants and Composite Bonding

Philip Friel Advanced Dentistry - Before Philip Friel Advanced Dentistry - After

by Dr Andrew Culbard

Read More

Page 1 of 4

Get in touch

Location Icon

Hyndland Dental Clinic

154 Hyndland Road, Hyndland, Glasgow,G12 9HZ

T. 01413 397 579

Location Icon

Castle House Dental Clinic

Fairways Business Park,Castle Heather Drive,Hyndland, Inverness,IV2 6AA

T. 01463 234 598